
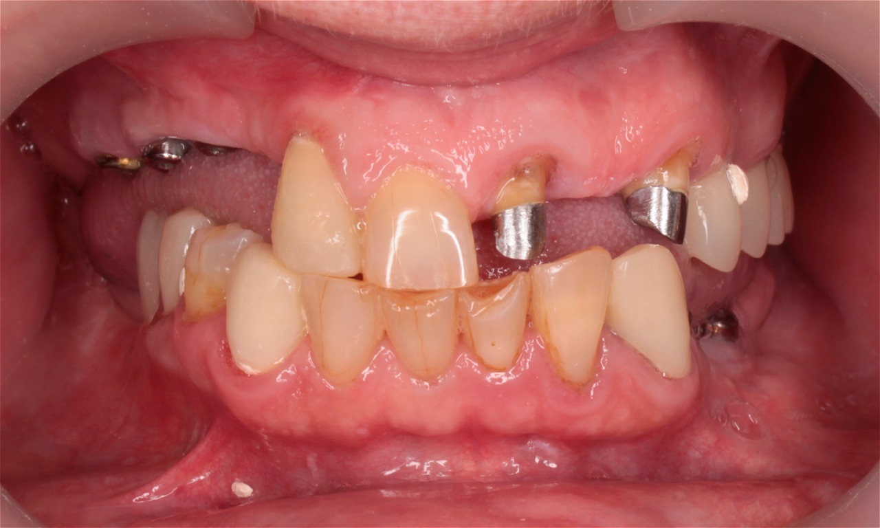
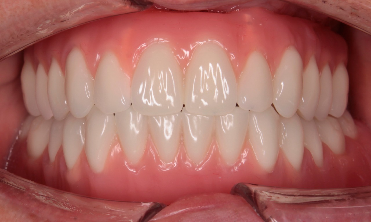
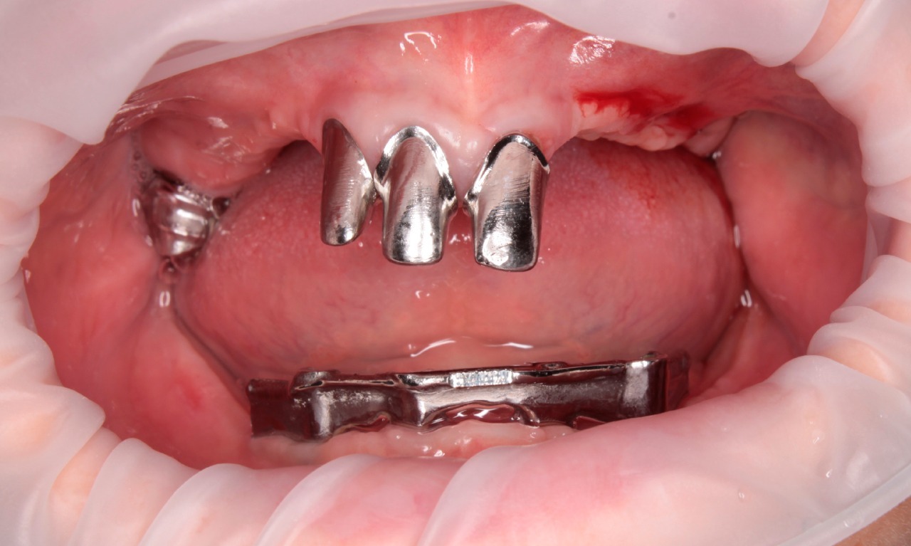
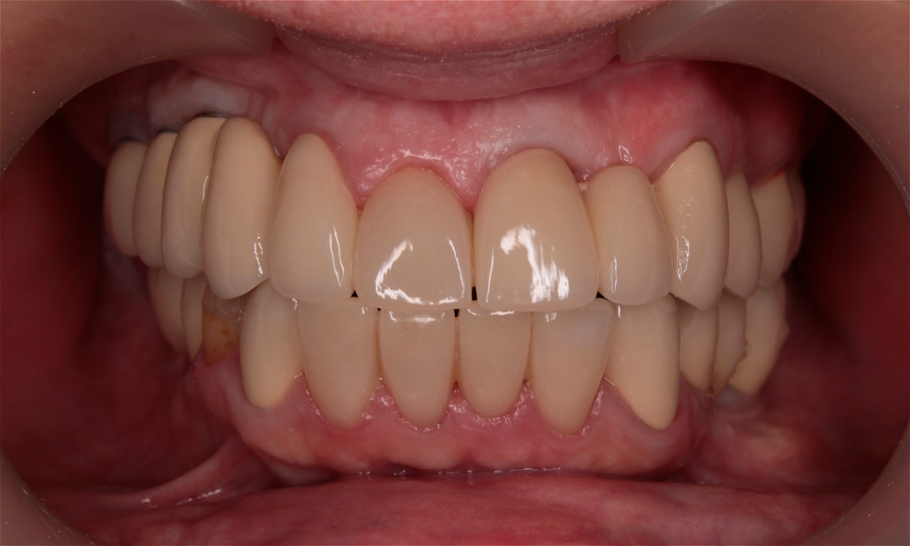
Сколько стоит имплантация нижней челюсти


стоматологических
клиник «НовДента»
современной инфраструктурой
и высококвалифицированным
персоналом
Запишитесь на прием сейчас
отзывы клиентов
Выражаю глубокую признательность детскому стоматологу Фроловой Татьяне Юрьевне и коллективу клиники Новдента! Уже не первый год "лечу" своему ребенку зубки, а такое доброжелательное и внимательное отношение непосредственно к моему ребенку встретила впервые! Очень приятно! Дочка ушла счастливая и довольная с подаренными игрушками, а в во время лечения даже ни разу не всплакнула (ребенку 4 года). Возвращаться к доктору, у которого наблюдались ранее уже нет желания. Всем своим подругам-мамочкам буду рекомендовать лечить своим деткам зубки у Фроловой Т.Ю.
У меня был очень печальный опыт по удалению зуба в другой клинике, поэтому в этот раз тоже ждала подобного, очень боялась. Но доктор Пантелеев был так деликатен. Абсолютно безболезненно, при этом очень быстро. Спасибо большое!!!! Замечательные и очень отзывчивые врачи работают в Вашей клинике. Спасибо Вам большое!!!!
Обожаю администраторов на Людогоща. Потрясающие, точные. Сколько бы я не переносила время или день приёма, их доброжелательный голос от этого не меняется. Спасибо, что каждый раз напоминаете о моей записи. И ещё администраторы великолепно общаются с детьми. Я это вижу, когда бываю в клинике по отношению к детям в целом и я спокойна, когда прихожу со своими детками. Точно знаю, что мои дети под надёжным и приятным вниманием. Ольга
Хочу поблагодарить своего врача Ивон Энау. Это грамотный хирург, у нее золотые руки!!! Спасибо Новденте за то, что здесь работают такие отличные специалисты!!!
Фролова Татьяна Юрьевна -очень добрый,внимательный,отзывчивый врач.Которая с уважением относится к детским страхам перед лечением зубов и терпеливо выносит все их капризы(и даже покусы)!!! С уважением, Мария!
Спасибо, вынули зуб, даже не почувствовал ^^ молодцы одним словом, кофе не успел допить, извиняюсь))))))
Горячая линия просто СУПЕР! Зря не предусмотрели возможность оставить отзыва по горячей линии. Это тоже услуга и очень важная услуга.
Хочу обратиться к руководству клиники "НовДента" с благодарностью за прекрасных сотрудников, которые являются вашим штатом. В частности отмечу великолепного доктора, истинного профессионала своего дела Соколова Антона Владимировича. Я убеждена, что он не только высококвалифицированный специалист, но и добрый, чуткий отзывчивый человек с золотыми руками. Так же спасибо его талантливой ассистентки Ушановой Любовь Николаевне. Вы супер!!!!
Лечили молочные зубки(ребенку 5 лет) у Соколова Антона Владимировича.Врач имеет подход к детям,все прошло безболезенно и на позитиве.Спасибо !
Выражаю огромную благодарность коллективу замечательной клиники "НовДента", особенно своим лечащим врачам: Рыбкиной Татьяне Васильевне, Шульцевой Людмиле, Григорьеву Владимиру. Всегда очень доброжелательны и профессиональны.
Выражаю огромную благодарность Касимову Руслану Рашидовичу за его профессиональное отношение к своему делу, теплое, доброжелательное отношение к пациенту, за его золотые руки. Спасибо ему сердечное. Спасибо всему персоналу за их доброжелательное отношение к нам.
Лечила зубы у Самгиной А.Е., очень добрый, чуткий доктор с нежными руками. Одно удовольствие лечить зубки у таких докторов, работает с медсестрой Ольгой Анатольевной слаженно и быстро. Спасибо большое!
























