Купон
на скидку
Распечатать!

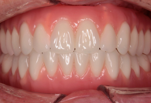
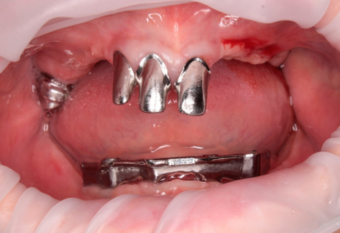
Реконструкция нижней челюсти с несъемным протезированием

Реконструкция нижней челюсти с несъемным протезированием - фото до
Реконструкция нижней челюсти с несъемным протезированием - фото после
 
8(8162) 33-55-50
НовДента Юниор - В.Новгород, ул. Людогоща, 3 (вход с торца)
8(8162) 61-61-62
НовДента Мира 30 - В.Новгород, пр. Мира, 30, корп.1
 
8(8162) 739-555
НовДента на Воскресенском - В.Новгород, бул. Воскресенский д.9а
+7(950) 688-51-55
В. Новгород, ул. Ломоносова, д. 29, ТРЦ Мармелад, 1 этаж
 
8(8162) 33-55-55
НовДента Людогоща - В.Новгород, ул. Людогоща, 3 (центральный вход)
Имеются противопоказания. Необходима консультация специалиста
173007 Великий Новгород Людогоща, 3
Служба заботы

ПН - ПТ 9:00 - 21:00

СБ 9:00 - 15:00

ВС выходной

Нов Дента
Распечатать