
Хотите красивую улыбку? Попробуйте проверенную классику – лигатурные брекеты!
Мечтаете о ровных зубах, но не знаете, какую систему выбрать? Давайте расскажем, почему лигатурные брекеты – это надёжный и проверенный способ обрести красивую улыбку!Почему лигатурные брекеты – отличный выбор?
Доступность. Это самый бюджетный вариант среди брекет-систем, но при этом результат – на высшем уровне.
Эффективность. Они идеально справляются даже в самых сложных случаях! Лигатуры (маленькие резиночки) надежно фиксируют дугу, помогая зубам двигаться туда, куда нужно.
Индивидуальность. Хотите добавить немного стиля в лечение? Выбирайте цветные резиночки – и превращайте процесс в модный эксперимент!
Есть и минусы, но мы их легко решим:
Лигатурные брекеты требуют чуть больше внимания к гигиене.
Решение: Мы научим Вас, как правильно ухаживать за зубами и дадим все необходимые рекомендации.
Иногда резиночки нужно менять чаще.
Решение: Регулярные визиты к ортодонту обеспечат идеальный контроль и комфорт за процессом.
Лигатурные брекеты – это классика, которая доказала свою эффективность на миллионах улыбок по всему миру. Хотите узнать, подходят ли они Вам? Записывайтесь на консультацию и мы подберем идеальное решение именно для Вас!
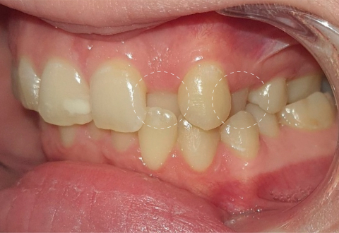
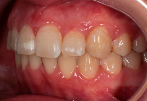
Пациенту, 22 года, было проведено ортодонтическое лечение серьёзной аномалии прикуса с помощью лигатурной брекет-системы, срок лечения 2,5 года.
Фотография предоставлена врачом стоматологом-ортодонтом – Хусейн Сармад Ибрагим.
Ведет прием по адресу: ул. Людогоща д. 3.

