
Вычеркните «ожидание» из плана лечения: имплантация за один прием!
Вам знакома эта схема?
Удаление зуба→ месяцы заживления → установка импланта → его сращивание с костью→ установка временной коронки, а потом только постоянной... Звучит как марафон, на который жалко тратить жизнь.
Мы меняем правила игры!
Представьте: Вы приходите в клинику, а выходите уже с восстановленной улыбкой. Без «дырок» в зубном ряду и месяцев стеснения...
Это реально благодаря одномоментной имплантации в НовДенте!!!
Удаление, имплантация и протезирование временной коронкой правда делаются за 1 визит, но это невозможно БЕЗ:
Первичной консультации и диагностических снимков!
Нам надо понять состояние костной ткани, убедиться в безопасности процедуры и отсутствии противопоказаний. Также специалист подбирает размеры имплантата и заказывает его (через 2-3 дня он уже в нашей клинике) и всё готово к началу процедур!
День операции
Вы приходите к нам на лечение всего один раз. За этот прием мы бережно удаляем проблемный зуб и сразу же устанавливаем имплант. И самое главное – ставим временную коронку.
Через 3-6 месяцев на месте временной коронки будет красоваться постоянный зуб.
Что в итоге?
Вы зашли в кабинет с проблемой, а вышли с новым зубом!
Хотите узнать, подходит ли Ваш случай под «экспресс-восстановление»?
Запишитесь к нашим специалистам прямо сейчас.
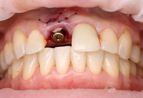
Фотография предоставлена Смирновой Элеонорой Юрьевной – врач стоматолог-хирург, имплантолог и Екимовым Кириллом Юрьевичем – врач стоматолог-ортопед.
______________________________________________
Записаться к специалистам по телефону: 8(800)500-02-64
запись онлайн: www.novdenta.ru

