
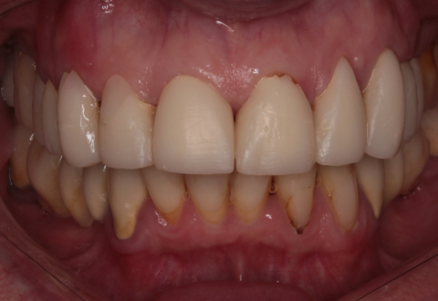
К сожалению, наши зубы со временем имеют привычку изнашиваться и приходить в неугодное и визуально неопрятное состояние. И даже, если так, нам очень хочется улыбаться не беспокоясь о том, что подумают окружающие! В НовДенте для Вас создадут улыбку согласно свежим трендам стоматологии!
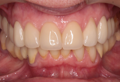
Для протезирования коронками наши ортопеды часто используют изделия E-max! Это керамика высокой прочности, отменной эстетики и премиального качества! Срок её службы 15 лет и более!
Преимущественно их устанавливают на передние зубы, ведь они великолепно заменяют естественных собратьев. Эта разновидность материала пропускает через себя све, что создаёт эффект блеска и натуральной прозрачной эмали.
Приходите в клинику НовДента за новой улыбкой, ведь именно в ней кроется Ваше счастье и радость!
Пациенту были установлены коронки E-max и коронки из диоксида циркония
Фотография предоставлена заместителем генерального директора по лечебной части, врачом стоматологом-ортопедом – Комиссаровым Максимом Леонидовичем.
Ведёт приём в клинике "НовДента на Воскресенском".

