
В НовДенте всегда найдётся мост для переправы на ту сторону, где ждёт красота!
Из-за широкого промежутка между зубами, люди не только стесняются своей улыбки! Это лишь малая часть айсберга всех проблем, которые щель между зубами может принести.
Диастема (так она по врачебному называется) ведёт к неправильной жевательной нагрузке, давящей на зубы! Просто представьте, что у бобра или белки между их огромными и острыми, как бритва зубами, располагается огромная щель! Да они ни один орех не раскусят и ни один древесный ствол не разгрызут, а вот зубы повредят!
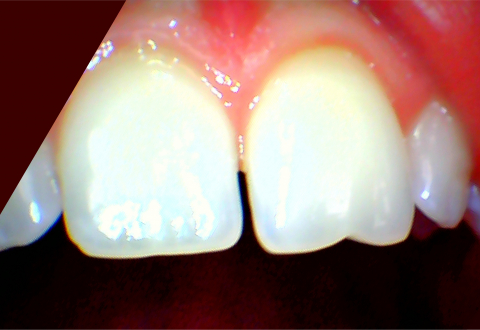
Тоже самое примерно происходит и у человека. Зубы на пищу давят неравномерно, отсюда и повреждения, такие например, как сколы, один из которых Вы можете увидеть на картинке!
Берегите зубы, грызите орехи аккуратно! А неугодные прорехи красиво и эстетично исправят в НовДенте, сделав улыбку здоровой и готовой к любой твёрдой пище.
Пациенту была закрыта диастема и восстановлен зуб на режущем крае после произошедшего скола.
Фотография предоставлена врачом стоматологом-терапевтом – Разживиной Еленой Сергеевной
Ведёт приём в клинике "НовДента на Воскресенском".

